Explore ideas, tips guide and info Isabella Venning
Alveolitis Sicca Nach 7 Tagen
Alveolitis Sicca Nach 7 Tagen
Alveolitis Sicca Nach 7 Tagen. ¿Qué es la alveolitis? Tipos diferentes, síntomas y tratamientos Erfahren Sie alles über Alveolitis sicca: Ursachen, typische Symptome und effektive Behandlungsansätze."Alveolitis sicca" - der lateinische Begriff bedeutet wörtlich "trockene Mulde" und beschreibt eine entzündliche Komplikation, die nach der operativen Entfernung eines Zahns oder mehrerer Zähne auftreten kann.Im Volksmund wird diese schmerzhafte Erkrankung auch als "Lochweh" bezeichnet. Erfahren Sie, warum Sie 7 Tage nach Zahnziehen immer noch Schmerzen haben können und welche Maßnahmen zur Schmerzlinderung beitragen.
ᐈ Alveolitis Seca Diagnóstico, tratamiento y prevención ⭐ from oralview.org
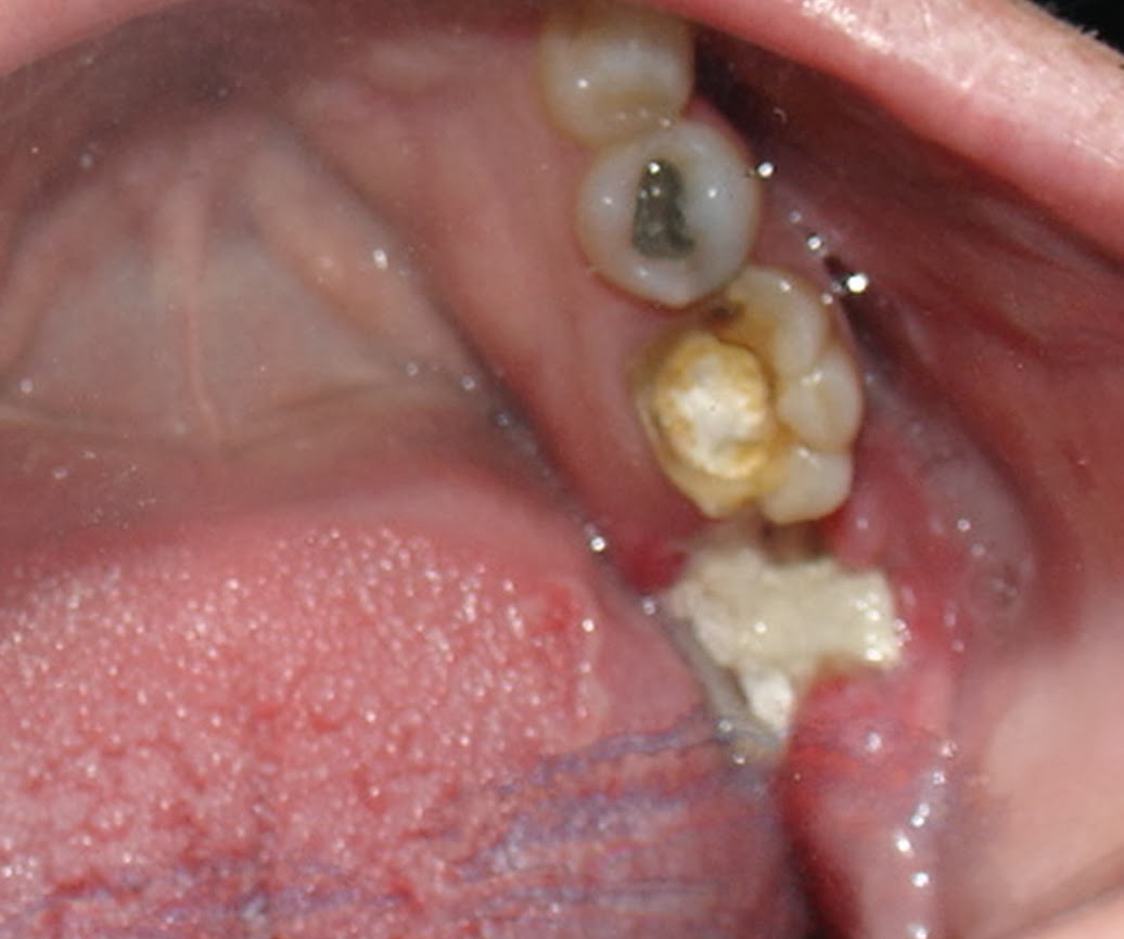
Erfahren Sie, warum Sie 7 Tage nach Zahnziehen immer noch Schmerzen haben können und welche Maßnahmen zur Schmerzlinderung beitragen. Bei einer Alveolitis sicca entzündet sich nach einer Zahnentfernung das knöcherne Zahnfach
ᐈ Alveolitis Seca Diagnóstico, tratamiento y prevención ⭐
Die Heilung einer Alveolitis sicca dauert bei richtiger Behandlung in der Regel ca Alveolitis Sicca, auch als trockene Alveole bekannt, tritt häufig nach Zahnextraktionen auf 7-10 Tage, kann sich aber auch mehrere Wochen hinziehen
ᐈ Alveolitis Seca Diagnóstico, tratamiento y prevención ⭐. Insgesamt kann sich die Wundheilung nach einer Alveolitis sicca über mehrere Wochen hinziehen, bis der gesamte Knochen von der Seite her wieder mit Schleimhaut überwachsen ist Die Heilung einer Alveolitis sicca dauert bei richtiger Behandlung in der Regel ca
Alveolitis sicca Ursachen, Symptome & Behandlung. Die Komplikation tritt vor allem im Bereich des Unterkiefers und vorwiegend im Kieferwinkelbereich auf. Innerhalb von etwa sieben Tagen wird das Koagulum.